
吸入性肺炎合并高钠血症病例诊疗报告
基于2025年最新中外指南的系统分析与经验总结
病例报告 | 诊疗方案 | 经验总结
病例基本信息
患者概况
78岁男性,体重50kg,主诉意识障碍加重伴发热、气促24小时,饮水呛咳3天
既往病史
- 脑梗塞后遗症2年(右侧肢体偏瘫,吞咽功能障碍)
- 高血压10年(控制不佳,BP 150-170/90-100 mmHg)
- 阿尔茨海默病5年(近期认知功能显著下降)
现病史与初步诊断
3天前进食流质时频繁呛咳,24小时前突发嗜睡,体温38.9℃,呼吸急促(RR 30次/分),SpO₂ 88%
急诊检查结果
- 血钠160 mmol/L(重度高钠血症)
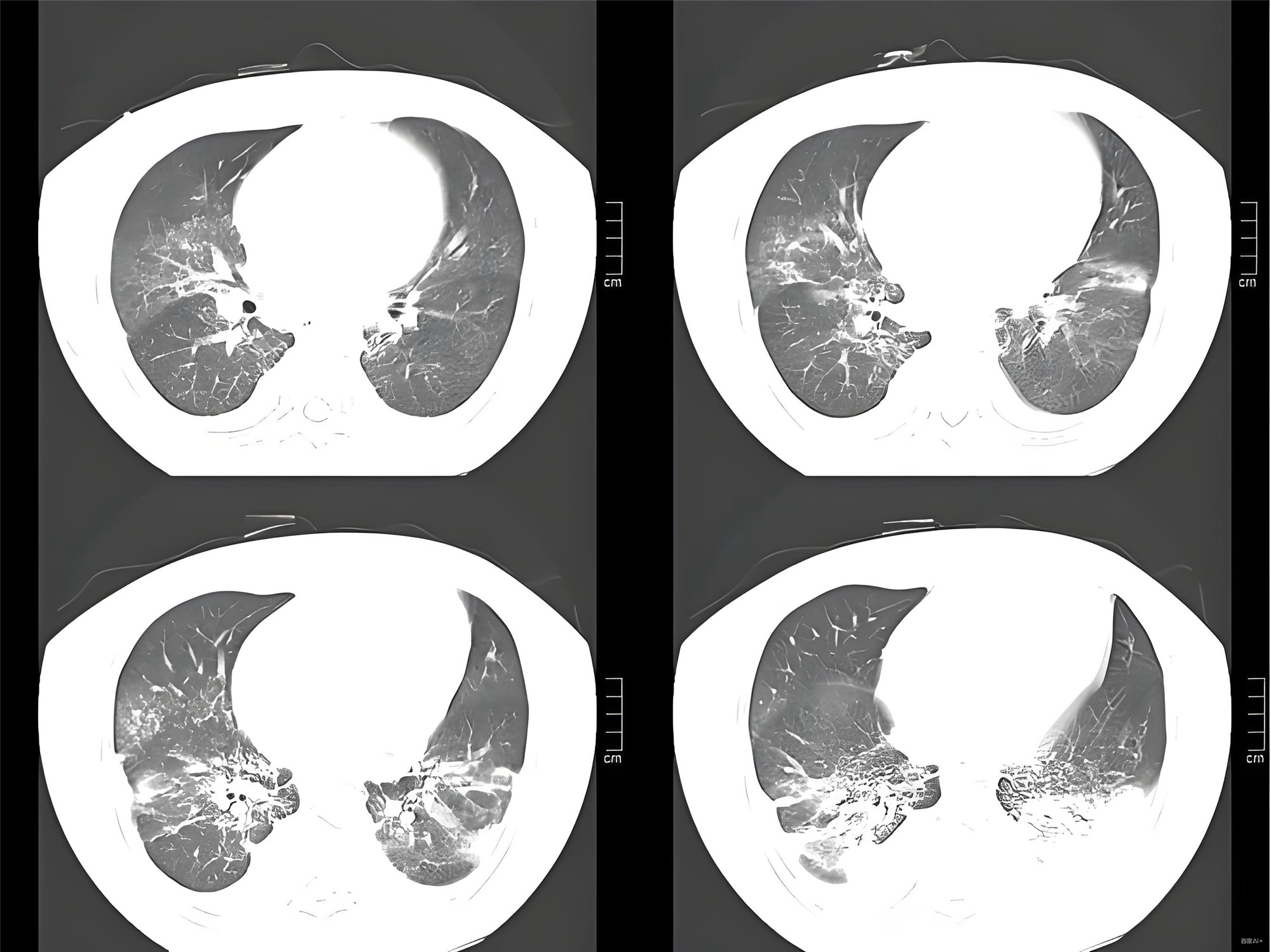
- 胸部CT示右下肺实变伴支气管充气征
诊断依据与治疗策略
吸入性肺炎
- 临床表现:发热、咳嗽、低氧血症
- 影像学:右下肺实变(典型吸入性肺炎定位)
- 病原学:厌氧菌(拟杆菌属)+ 革兰阴性杆菌(肺炎克雷伯菌)
高钠血症
- 血钠160 mmol/L(重度)
- 病因:饮水不足+鼻饲高渗营养液
- 症状:意识模糊、肌阵挛
脑梗塞后遗症
- 既往影像学确诊
- 吞咽功能障碍为关键诱因
- 右侧肢体偏瘫(肌力2级)
抗感染治疗方案
首选方案
氨苄西林/舒巴坦 3g + 100mL生理盐水
静脉滴注,每6小时1次(输注时间≥60分钟)
依据2025 SPILF指南:社区获得性吸入性肺炎需覆盖厌氧菌及革兰阴性菌
替代方案(青霉素过敏)
莫西沙星 400mg + 250mL 5%葡萄糖
静脉滴注,每日1次(输注时间≥90分钟)
依据《临床重症与药学超说明书用药专家共识》(2025)
高钠血症纠正方案
补液计算
缺水量 = [(160-140)×50×0.6]/140 ≈ 4.3L
液体选择
- 5%葡萄糖注射液(无钠)
- 0.45%氯化钠注射液(低渗)
补液目标
24小时血钠下降≤10 mmol/L
(目标降至≥150 mmol/L)
具体输注方案
5%葡萄糖 2000mL + 0.45%氯化钠 1500mL
24小时匀速输注(速率≈150mL/h)
每2小时监测血钠,目标下降速度≤0.5mmol/L/h
支持治疗措施
脑梗塞后遗症管理
- 暂停经口进食,改用鼻饲(床头抬高30°)
- 启动吞咽康复训练(神经科会诊)
呼吸支持
无创通气(BiPAP模式):
IPAP 12cmH₂O,EPAP 5cmH₂O(维持SpO₂≥92%)
救治经验总结(基于2025最新指南)
吸入性肺炎管理要点
诊断精准化(2025 SPILF指南)
- 区分感染性吸入性肺炎 vs. 化学性肺炎(后者无需抗生素)
- 推荐低剂量胸部CT(敏感性更高)+快速分子病原检测
抗感染策略优化
| 临床场景 | 首选方案 | 替代方案 |
|---|---|---|
| 社区发病(轻中度) | 氨苄西林/舒巴坦或阿莫西林/克拉维酸 | 莫西沙星 |
| 院内发病/耐药风险 | 哌拉西林/他唑巴坦 | 厄他培南+克林霉素 |
SPILF强调避免过度覆盖铜绿假单胞菌(除非长期机械通气)
高钠血症纠正原则
核心目标(默沙东手册2025)
- 缓慢下降血钠(过快可致脑水肿/癫痫)
- 重度高钠(>160mmol/L):24小时降幅≤10mmol/L
- 48小时恢复至正常高限(145mmol/L)
液体选择逻辑
- 低渗盐水(0.45% NaCl):对高渗性脱水最安全
- 5%葡萄糖:适用于纯水丢失型(如本例饮水不足)
- 禁忌:快速输注生理盐水或纯水
脑梗塞后遗症风险防控
预防再发吸入
- 所有吞咽障碍患者需床边洼田饮水试验筛查
- 长期鼻饲者:每餐前检查胃残余量(>200mL暂停喂养)
多学科协作
急诊科+神经科+营养科联合制定喂养方案(SPILF指南推荐)
关键错误与改进
初始补液误区
- 错误:首诊曾用生理盐水500mL快速静滴(血钠升至162mmol/L)
- 改进:高钠血症需严格限制含钠液体,首选低渗/无钠溶液
抗生素选择延迟
- 错误:未及时覆盖厌氧菌(首日仅用头孢曲松)
- 改进:吞咽障碍者必须覆盖厌氧菌(克林霉素或含酶抑制剂青霉素)
参考文献依据
- 吸入性肺炎:法国SPILF指南(2025)– 强调影像与病原精准诊断,限制抗生素滥用
- 高钠血症:默沙东诊疗手册(2025)+美国烧伤学会复苏指南–规范补液速度与液体类型
- 超说明书用药:《临床重症与药学超说明书用药专家共识》(2025)–莫西沙星用于青霉素过敏者
注:本例治疗中氨苄西林/舒巴坦、莫西沙星用法均符合共识推荐剂量与配制标准
评论0